相信大家小时候经常会被妈妈教育:不能看红眼病人的眼睛,小心被传染。从小就乖乖听话的我们一旦发现有疑似红眼病的同学,就赶紧逃离他“炽热”的目光。
学习眼科知识之后才知道,普通红眼病(急性结膜炎)光看眼睛是不会被传染的,而是会通过接触性传染,比如和患者握手、共用毛巾等。

一说到传染病,大家的汗毛就要竖起来了,其实红眼病虽然具备传染性,但大多数不会对视力造成影响,治疗也相对比较容易。而另外一种与红眼病类似的“巩膜炎”,没有传染性却比红眼病可怕得多,因为它有可能引发致盲性的并发症,导致视力丧失。
同样是“红”,它们到底哪里不一样?
由于巩膜炎和红眼病都会产生眼红的症状,很容易让人混淆。其实仔细辨别,二者还是有较大区别的。
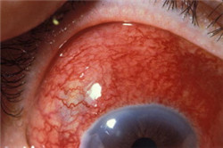
红眼病在医学上称为急性结膜炎,听名字就知道是发生在结膜位置,多因病毒或细菌感染所引起。表现为结膜血管充血,外观呈现鲜红色,在推动结膜的时候血管会随着一起移动。

巩膜炎则发生在巩膜(俗称的眼白)部位,多与一些其他疾病有关,如梅毒、结核、类风湿关节炎等。表现为巩膜的血管扩张出血,外观呈现暗红色或者紫红色,推动结膜时血管不会跟着移动。

不过,无论眼睛出现哪种“红”,都是眼睛发出的警示信号,应上正规的眼科医院做检查并配合医生积极治疗。
巩膜炎,难以承受的眼睛之痛
生命之轻很多人没有体验过,但难以承受的眼睛之痛却让巩膜炎患者深有体会。巩膜炎根据发病位置的不同,分为前巩膜炎和后巩膜炎。
其中前巩膜炎发病于巩膜前方,即人眼可见的眼白部分,多为双眼发病。患者会产生剧烈的疼痛感,而且这种疼痛还会发散至眼睛周围,产生畏光、流泪等症状。眼睛作为身体中非常敏感的部位之一,一旦发生如此剧烈的疼痛,真的会有点让人难以忍受。

后巩膜炎则发生于巩膜后方,多为单眼发病,在眼前段没有明显的症状。一般表现为眼红、视力下降,以及不同程度的眼痛、压痛等症状,有时可产生剧烈的眼痛和头痛,甚至伴有恐惧感。
生理上的痛难以承受,但令人更“痛”的是:巩膜炎如果不及时治疗,有可能引发严重的致盲性并发症,对眼睛造成难以恢复的伤害。比如巩膜坏死、葡萄膜炎、白内障、青光眼等。
巩膜炎治疗:找出病因,对症治疗
巩膜炎很少是因为感染或者外伤引起,大多与一些慢性感染病或者全身性免疫疾病有关。因此,北京希玛眼科医院认为:针对巩膜炎的治疗需要找出病因,对症治疗。
对于全身性疾病所引起的巩膜炎,需要针对这些疾病进行相应治疗,比如治疗类风湿疾病等;若有感染存在,需要进行抗生素治疗;而对于炎症本身,则需要局部滴用类固醇药物或者口服类固醇药物,来缓解眼部疼痛以及炎症。

有些病人可能发现得早,在早期就进行了积极的消炎治疗,那么并发症产生的风险会大大降低。但对于一些炎症反复发作或者没有得到及时治疗的病人,可能并发症已经产生了,比如眼压升高引发了青光眼,就需要尽快降低眼压。对于巩膜已经发生穿孔或坏死的部位,希玛眼科的医生便会考虑为病人进行巩膜加固手术或者异体巩膜移植手术。
正是因为巩膜炎与我们俗称的红眼病在某些症状上有些类似,所以才容易让大家误解。还有的人自己去药店买消炎药水滴用,不仅红眼症状没有消除,反而耽误了巩膜炎的治疗,就得不偿失了。所以小编提醒大家:一旦眼睛出现异常的红眼症状,应及时去眼科医院找医生治疗。

眼科全科
眼科全科,主攻眼底病的诊断治疗
擅长疑难青光眼的诊治
眼底病、黄斑疾病、玻璃体视网膜手术
眼底病的诊治,尤其专长于糖尿病视网膜病变、黄斑疾病和视网膜移植
儿童视觉发育性眼病诊治
屈光矫视、白内障、眼整形、老视个性化手术设计及矫正、眼底手术治疗
眼科全科、眼底病、白内障、青光眼
屈光性白内障、青光眼、晶体植入
青光眼、白内障及眼底病
白内障、泪道、眼整形、青光眼的诊断及治疗
弱视、斜视、屈光不正、近视、复视、眼球震颤的诊断和治疗
屈光不正、白内障、眼底常见病